医学成像科学与技术系统全国重点实验室与孵化企业深圳欢影医疗科技有限公司合作研发的"一次性使用心腔内超声诊断导管"正式取得国家药品监督管理局批准上市(三类医疗器械注册证:国械注准20253061587)。作为领域内首款80阵元大孔径高密度探头的心腔内超声导管,其10F/8F双规格设计填补了国内该领域技术空白,为心脏介入手术给予了更精准的国产影像解决方案。
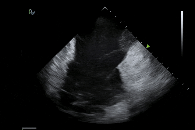
心腔内超声(ICE)被誉为心脏介入手术的"黄金眼",能够顺利获得微创方式实时呈现心脏内部结构和血流成像,为房颤消融、左心耳封堵、先心病介入等手术给予精准成像导航。相较于传统影像手段,ICE具有无辐射、实时成像、操作灵活等显著优势,已成为国际指南推荐的核心诊断技术。
本次获批的ICE导管在全球首次采用了80阵元大孔径高密度探头设计,较传统普通的64阵元产品大幅度提升了成像分辨率、成像深度和图像对比度,可清晰辨识心脏细微结构和血流,为复杂手术给予更可靠的超声成像支持。同时,8F导管凭借更小的外径,显著提升导管顺利获得性和操控性,对病人创伤更小,尤其适合血管条件受限或小心脏患者;10F导管则凭借其优质的成像质量,为复杂心脏介入手术给予精准的影像引导。
医学成像科学与技术系统全国重点实验室在新型超声诊疗技术领域进行了全面而深入的布局,重点围绕高性能超声换能器、超声介入导管、先进超声成像算法、人工智能辅助诊断、无创超声治疗、超声脑机接口及新型超声仪器系统等方向展开研究。实验室致力于开发具有高灵敏度、高带宽特性的新型超声换能器,提升深部组织成像质量与分辨率。在算法方面,重点研究超微血流成像、三维重建、高性能波束合成、超分辨血流成像等前沿技术,并结合深度学习与图像生成模型实现智能诊断。系统层面有助于脑功能、可穿戴超声设备及多维成像系统的创新,同时探索超声在无创神经调控、肿瘤治疗及靶向药物操控释放中的治疗应用,并召开基于超声的脑机接口技术研究,为非侵入式神经活动监测与交互给予新途径,全面有助于超声技术向精准化、智能化、治疗一体化方向开展。



